The Power of Zoom Whitening in Charleston SC
Charleston, SC, is known for its charm, history, and beautiful smiles. Zoom whitening is a powerful cosmetic dentistry treatment that can significantly enhance your smile. This procedure, offered by many dental practices in Charleston, provides a quick and effective way to brighten your teeth and boost your confidence. Let’s explore the remarkable benefits of Zoom whitening and how it can transform your smile in the heart of Charleston.
Boost Your Confidence
A brighter smile can do wonders for your self-esteem. Zoom whitening can help you feel more confident in social situations, at work, and in your personal life. When you are comfortable with your smile, you are more likely to engage with others, make new connections, and seize opportunities that come your way. A radiant smile is often the first thing people notice, making a positive first impression critical.
Enhance Your Social Life

A beautiful smile can significantly improve your social life. With Zoom whitening, you can enjoy social gatherings and events with more enthusiasm, feel more comfortable laughing, and be more willing to pose for photos. A whiter smile can make you feel more approachable and attractive, which often leads to increased social interactions and a more fulfilling social life in the vibrant city of Charleston.
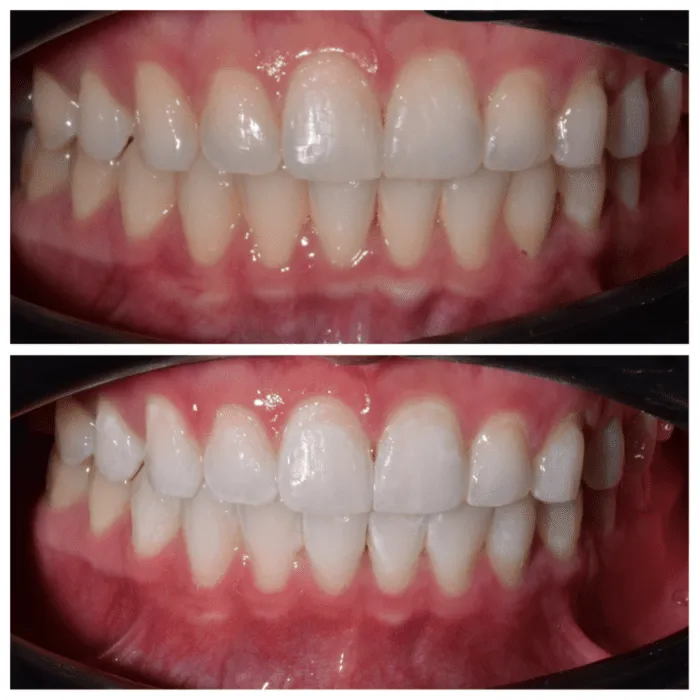
Fast and Effective Whitening
Zoom whitening is known for its rapid results. The entire procedure can often be completed in a single dental visit. This means you can achieve a noticeably brighter smile in just a few hours, making it a convenient option for those with busy schedules. Many people in Charleston, SC, appreciate the speed and effectiveness of this treatment, which makes it an attractive choice for immediate smile enhancement.
Eliminate Stubborn Stains
Zoom whitening is highly effective at removing stubborn stains caused by coffee, tea, wine, and other staining agents. This procedure uses a powerful whitening gel activated by a special light, which penetrates the enamel to break down the discolored molecules. This leads to a significantly brighter and more uniform smile. This is particularly beneficial for individuals who have tried other whitening methods with limited success.
Long-Lasting Results

With proper care and maintenance, the results of Zoom whitening can last for a significant amount of time. By following the post-treatment instructions provided by your dentist and maintaining good oral hygiene practices, you can enjoy your brighter smile for months or even years. Periodic touch-up treatments can further extend the longevity of your results, ensuring you maintain that dazzling Charleston smile.
How Zoom Whitening Works
The Zoom Whitening Process
Zoom whitening involves several steps that ensure a safe and effective teeth-whitening experience. Understanding the process can help you feel more comfortable and prepared for your treatment. A qualified dental professional will perform the procedure, providing a customized and professional experience.
Pre-Treatment Consultation

Before the Zoom whitening procedure, your dentist will conduct a thorough examination of your teeth and gums. This consultation helps determine if you are a good candidate for the treatment and to assess your overall oral health. The dentist will discuss your expectations and explain the procedure in detail, ensuring you understand the process and potential outcomes. This initial assessment helps in achieving the best possible results.
The Whitening Procedure
During the procedure, your gums and lips will be protected, and the whitening gel will be applied to your teeth. A special Zoom light is then used to activate the gel, breaking down stains and discoloration. The process is typically repeated in several cycles, with each session lasting about 15 minutes. This allows for a gradual and controlled whitening effect, ensuring optimal results. The dentist will monitor your progress and adjust the process as needed.
Post-Treatment Care
Following the Zoom whitening procedure, your dentist will provide detailed instructions on how to care for your teeth. This typically includes recommendations on what foods and drinks to avoid to prevent staining, as well as guidelines for maintaining your oral hygiene routine. It is essential to follow these instructions to achieve and maintain the desired results. Regular follow-up appointments may also be recommended to ensure long-term success.
What to Expect During the Procedure

Knowing what to expect during the Zoom whitening procedure can help alleviate any anxiety and ensure a more comfortable experience. The process is generally straightforward and performed in a dental office setting. The dentist will make sure you are comfortable throughout the treatment, and you can communicate any concerns or discomfort you may experience.
Potential Side Effects
While Zoom whitening is a safe procedure, some potential side effects are associated with it. Being aware of these effects can help you be prepared and know what to expect. These side effects are usually temporary and manageable, and your dentist can provide guidance to minimize any discomfort.
Sensitivity and Discomfort
Some people may experience temporary tooth sensitivity after Zoom whitening. This sensitivity can vary from mild to moderate and usually subsides within a few days. Your dentist may recommend using a desensitizing toothpaste or other remedies to alleviate any discomfort. It is essential to follow your dentist’s advice on managing sensitivity.
Gum Irritation

Some individuals may experience mild gum irritation after Zoom whitening. This can be due to the whitening gel coming into contact with the gums. The irritation is usually temporary and resolves on its own within a few days. Your dentist will take precautions to protect your gums during the procedure, and any irritation that does occur is typically minimal.
Who is a Good Candidate for Zoom Whitening
Zoom whitening is not for everyone, and certain factors determine whether you are a good candidate. It is essential to consult with your dentist in Charleston, SC, to assess your suitability for the procedure. They will consider your oral health, the type and severity of your stains, and your overall goals.
Ideal Candidates
Ideal candidates for Zoom whitening share some common characteristics, making the procedure a suitable option for them. Your dentist will evaluate your specific situation and advise you on whether this treatment is the best option for your needs.
Individuals with Stained Teeth

Zoom whitening is most effective for individuals with teeth stained from coffee, tea, tobacco, or aging. The whitening gel is designed to penetrate the enamel and break down the molecules that cause discoloration. If your teeth have noticeable stains, Zoom whitening can provide significant improvement.
People Seeking a Quick Solution
If you’re looking for a fast and effective way to brighten your smile, Zoom whitening is an excellent choice. The procedure can be completed in a single visit to your dentist’s office, making it a convenient option for those with busy schedules. It delivers immediate results, allowing you to enjoy a whiter smile quickly.
Those with Healthy Gums
Individuals with healthy gums and no active dental issues are generally good candidates for Zoom whitening. The procedure is most effective when the teeth and gums are in good condition. Your dentist will assess your oral health during the initial consultation and advise you on any necessary treatments before proceeding with the whitening process.
Alternatives to Zoom Whitening
While Zoom whitening is an excellent option for many, other alternatives can help you achieve a brighter smile. These alternatives have their pros and cons, and the best option for you depends on your individual needs and preferences. Discuss these options with your dentist to determine the best course of action.
Over-the-Counter Whitening Products
Over-the-counter whitening products, such as whitening strips and toothpastes, are readily available and can offer some degree of teeth whitening. However, they typically contain lower concentrations of whitening agents and may not produce the same dramatic results as Zoom whitening. While these products are convenient and affordable, they may not be as effective for significant staining. Always follow the product instructions carefully.
Professional Alternatives
Besides Zoom whitening, other professional alternatives are available. These include custom-fitted whitening trays provided by your dentist for at-home use, which contain a higher concentration of whitening agents than over-the-counter options. Another option is professional teeth cleaning, which can remove surface stains and brighten your smile. Your dentist can help you determine which professional alternative is the best fit for your needs.
Cost of Zoom Whitening in Charleston SC
The cost of Zoom whitening in Charleston, SC, can vary depending on several factors. Understanding these factors can help you plan and budget for your treatment. It is essential to discuss costs with your dentist before proceeding to understand the overall expenses involved.
Factors Affecting Cost
Several factors can affect the cost of Zoom whitening, including the dentist’s fees, the complexity of your case, and any additional services required. The geographic location and the specific dental practice will also influence the price. It’s always a good idea to get a detailed estimate from your dentist, which should include all associated costs. Make sure to ask about payment options and any financing plans that might be available.
The Importance of Choosing a Qualified Dentist
Choosing a qualified and experienced dentist is paramount for a successful Zoom whitening experience. A skilled dentist will ensure the procedure is performed safely and effectively, minimizing the risks of side effects. They will also be able to provide personalized recommendations and address any concerns you may have.
Finding a Reputable Dentist
When looking for a dentist in Charleston, SC, who offers Zoom whitening, consider their credentials, experience, and patient reviews. Check their website for information on their expertise, technology, and patient testimonials. You may also seek referrals from friends, family, or your primary care physician. Make sure they are licensed and that they have the necessary equipment to perform the procedure.
Questions to Ask Your Dentist
Before proceeding with Zoom whitening, ask your dentist specific questions about the procedure. Inquire about their experience, the expected results, the potential side effects, and the post-treatment care. This will help you feel more informed and comfortable with your decision. Don’t hesitate to ask about the cost, the payment options, and any guarantees they provide. It is essential to ensure you have a clear understanding of the process.
Maintaining Your Bright Smile
Maintaining the results of your Zoom whitening treatment requires a consistent oral hygiene routine and certain lifestyle adjustments. By adopting these habits, you can keep your smile looking bright and beautiful for an extended period.
Oral Hygiene Routine
Maintaining a good oral hygiene routine is essential for preserving your whitened teeth. Brush your teeth at least twice a day for two minutes each time, and floss daily to remove plaque and food particles. Consider using a whitening toothpaste and a mouthwash to further enhance the brightness of your smile. Regular dental check-ups and professional cleanings are also crucial for maintaining oral health.
Dietary Considerations
Certain foods and drinks can stain your teeth. To maintain your bright smile after Zoom whitening, limit your consumption of staining agents, such as coffee, tea, red wine, and dark-colored sodas. You might also consider using a straw for beverages, as this helps reduce direct contact with your teeth. Avoid tobacco products, as they can severely stain your teeth.
In conclusion, Zoom whitening in Charleston, SC, offers numerous benefits, from boosting your confidence to quickly eliminating stubborn stains. If you are considering this procedure, research qualified dentists, understand the process, and follow the post-treatment care instructions. With the right approach, you can enjoy a radiant smile that reflects the charm of Charleston for years to come. Remember, a bright smile is a confident smile, and Zoom whitening can help you achieve just that. Schedule a consultation with a local dentist to discuss your options and discover the best path to a brighter, more beautiful smile.
